Login
Section Innovation in Health Science

Fixed Orthodontic Treatment in Cases of Crowding and Loss of the First Molar of the Lower Jaw: A Case Report

Perawatan Ortodonti Cekat Pada Kasus Berdesakan dan Kehilangan Molar Pertama Rahang Bawah : Studi Kasus
Vol. 26 No. 4 (2025): October:

Eka Setyawardana (1), Wanda Karisma Dian Sari (2), Marisa Elvi Dayanti (3)

(1) Universitas Muhammadiyah Sidoarjo, Indonesia
(2) Universitas Muhammadiyah Sidoarjo, Indonesia
(3) Universitas Muhammadiyah Sidoarjo, Indonesia

Abstract:

A 15-year-old female patient presented with severe anterior crowding in both the maxillary and mandibular arches. The patient expressed concern regarding facial esthetics and a convex profile and had a history of retained root fragments in the mandibular right and left first molars, as well as persistence of primary teeth in the regions of teeth 55 and 65. A midline deviation was also observed. Clinical examination revealed a Class I molar relationship, while cephalometric analysis showed a skeletal Class II tendency. The upper right and left first premolars were extracted to relieve anterior crowding. The space resulting from the loss of the mandibular first molars was utilized to align the crowded lower teeth. This extraction strategy was employed to improve the vertical dimension and enhance the patient's facial profile. In conclusion, extraction of the maxillary first premolars can be considered as one of the treatment options for managing dental crowding. Extraction-based treatment may help achieve an esthetically pleasing and functionally stable occlusion.


Highlights:




  • Severe anterior crowding managed with upper first premolar extractions.




  • Mandibular molar space utilized for alignment and vertical control.




  • Extraction approach improved facial profile and occlusal stability.




Keywords: Dental Crowding, Premolar Extraction, Skeletal Class II, Facial Esthetics, Orthodontic Treatment

Downloads

Download data is not yet available.

Pendahuluan

Kondisi gigi yang berdesakan adalah merupakan maloklusi dalam dunia ortodontik yang umum terjadi dengan kecenderungan karena factor herediter yang kuat. Kondisi ini disebabkan oleh berbagai faktor, termasuk pengaruh faktor lingkungan dan genetik terhadap dimensi lengkung gigi[1]. Gigi yang berdesakan didefinisikan sebagai ketidaksesuaian antara ukuran gigi dan dimensi lengkung gigi yang menyebabkan maloklusi; kondisi ini terjadi karena kurangnya koordinasi antara ukuran gigi dan dimensi lengkung rahang[2].Maloklusi dengan ketidaksinkronan anatara gigi dan rahang terutama gigi berdesakan sering terlihat di berbagai populasi. Profil yang cembung senantiasa mengikuti maloklusi ini. Gigi insisivus bawah adalah gigi yang paling sering terlibat[3]. Faktor-faktor yang berkontribusi terhadap terjadinya gigi berdesakan pada mandibula pada masa gigi campuran sangat penting untuk perencanaan perawatan[4]. Beberapa faktor dapat diasumsikan memengaruhi perkembangan dan tingkat keparahan dari gigi berdesakan, seperti arah pertumbuhan mandibula, hilangnya gigi molar susu secara dini, dimensi mesiodistal gigi dan lengkung rahang, otot-otot oral dan perioral, serta inklinasi gigi insisivus dan molar[5]. Seringkali maloklusi ini terlihat sebagian besar pada ras asia dan juga ditemukan pada semua kelompok etnis.Bibir yang menonjol dan ketidakteraturan gigi,membuat banyak orang ingin mendapatkan perawatan ortodonti[6]. Tujuan perawatan ortodonti adalah untuk mendapatkan hubungan yang dinamis antara struktur gigi dan wajah. Angle mengatakan bahwa mempertahankan semua gigi dalam lengkung rahang diperlukan untuk mencapai kondisi wajah yang ideal. Perawatan ortodonti cekat dengan ekstraksi sangat diperlukan untuk mendapatkan kondisi jaringan lunak wajah yang ideal[7].

Penampilan terutama estetika wajah telah menjadi kebutuhan yang sangat urgent untuk masa saat ini. Tujuan perawatan ortodonti pada kondisi gigi berdesakan adalah untuk memperbaiki inklinasi gigi insisivus baik rahang atas maupun rahang bawah sehingga derajat jaringan lunak dapat diperbaiki. Hal ini dapat dicapai dengan melakukan ekstraksi empat premolar pertama diikuti dengan retraksi gigi anterior[8].

Pilihan perawatan untuk kasus berdesakan tergantung pada usia, profil wajah dan ekspektasi dari pasien itu sendiri. Secara umum kasus berdesakan dapat diselesaikan dengan 2 cara yaitu melakukan ekstraksi gigi di kedua lengkung rahang dan tanpa melakukan ekstraksi. Tingkat maloklusi sangat mempengaruhi durasi atau lama perawatan[9].

Kasus

Pasien dengan jenis kelamin wanita usia 15 tahun datang ke praktek pribadi, dengan keluhan gigi berdesakan dan bibir terasa tongos sehingga membuat pasien merasa kurang percaya diri. Pasien menjelaskan bahwa gigi geraham bawah kiri dan kanan tinggal sisa akar dan masih terdapat gigi geraham susu. Pasien tidak pernah melakukan perawatan behel gigi maupun alat lepasan sebelumnya.

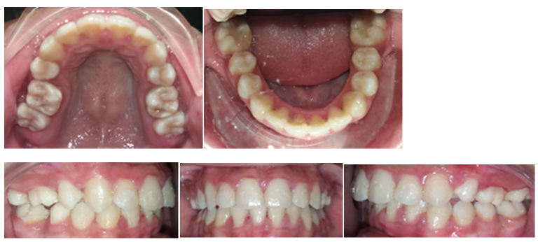
Figure 1. Foto ekstra oral sebelum perawatan

Figure 2. Foto intra oral sebelum perawatan

Pemeriksaan ekstra oral didapatkan profil yang cembung, tipe muka mesosefalik dan bibir tidak kompeten (Gambar.1). Pada pemeriksan intra oral ditemukan berdesakan pada gigi anterior Rahang Atas dan Rahang Bawah. Bentuk lengkung Rahang Atas dan Rahang Bawah adalah normal. Gigi 36 dan 46 tinggal sisa akar. Gigi 12, 22 terletak lebih ke palatal(palatoversi), 21 distolabial rotasi eksentris, 22 palatoversi . Relasi kaninus kanan tonjol dan kaninus kiri neutroklusi sementara molar tidak terdapat relasi. Tumpang gigit dan jarak gigit normal. Terdapat pergeseran garis median Rahang Atas 1 mm ke arah kiri. Analisis model menunjukan terdapat diskrepansi berupa kekurangan tempat 8 mm di Rahang Atas dan Rahang Bawah terdapat kekurangan tempat sebesar 4 mm (Gambar.2)

Figure 3. Foto sefalometri

Figure 4. Foto Panoramic

Pengukuran (°) Kaukasoid Surabaya Penderita
Rerata Rentang Rerata Rentang Awal Prog Retensi
SKELETAL
1. Ð SNA 82 78 – 86 84.3 79 – 89 80 80
2. Ð SNB 80 76 – 84 81,4 74 – 89 77 76
3. Ð ANB 2 0-4 3 - 3 4
4. Ð Bid. Oklusal – garis SN 14 5 – 30 - - 24 23
5. Ð Bid. Mand. - garis SN 32 20 – 40 - - 40 40
DENTAL
1. Ð 1 – garis NA 22 15 – 32 26 - 20 20
2. 1 – garis NA (mm) 4 2 – 6 6,3 0 -14 5 4
3. Ð 1 - garis NB 25 15 – 32 29 - 24 25
4. 1 – garis NB (mm) 4 2 – 6 7,9 3 – 13 12 11
5. Pog – garis NB 2 - - - 1 2
Table 1. Analisis Sefalometri

Berdasarkan foto panoramic(gambar 4) ditemukan impaksi gigi pada 18 dan 28. Perhitunga sefalometri menunjukan skeletal kelas I dengan ANB 3º. Relasi gigi didapatkan bahwa inklinasi gigi rahang atas normal (I-NA 20º) dan gigi rahang bawah normal (I-NB 24º) dan terdapat rotasi mandibula ke bawah dan ke belakang (Gbr.3). Analisis jaringan lunak menunjukkan bahwa bibir atas dan bawah menonjol (Tabel 1). Berdasarkan dari anamnesa dan pemeriksaan klinis dimungkinkan bahwa etiologi maloklusifaktor herediter.

Figure 5. Foto ekstra oral sebelum perawatan

Figure 6. Foto intra oral sesudah perawatan

Figure 7. Superimpose Sefalometri

________ sebelum perawatan

________ sesudah perawatan

Penatalaksanaan

Tujuan dari perawatan ini adalah untuk memperbaiki estetika wajah dan gigi geliginya yang tidak beraturan. Berdasarkan pemeriksaan klinis, analisis model dan analisis sefalometri maka diputuskan untuk melakukan koreksi berdesakan gigi Rahang Atas dan Rahang Bawah dengan peranti cekat ortodonti dan dilakukan pencabutan gigi pada premolar pertama Rahang Atas kanan dan kiri. Rahang bawah tidak dilakukan pencabutan karena menggunakan tempat yang tersedia dari pencabutan sisa akar gigi molar pertama kanan dan kiri. Rencana perawatan adalah melakukan ekstraksi gigi premolar pertama kanan dan kiri rahang atas,l eveling dan aligment menggunakan bracket roth 0.22merk American orthodontic, selanjutnya dilakukan retraksi anterior Rahang atas dan Rahang bawah dan koreksi pergeseran garis median.

Setelah dilakukan ekstraksi premolar, perawatan dimulai dengan pemasangan braket roth menggunakan slot 0,022 dengan penjangkaran molar pertama dan molar kedua yaitu menginsersikan molar band pada gigi molar pertama dan buccal tube pada molar kedua Rahang Atas dan Rahang Bawah. Leveling dan alignment dilakukan menggunakan wire nikel-titanium mulai dari .012, .014, 0,016 hingga 0,017 × 0,025 pada Rahang Atas dan Rahang Bawah. Pada Rahang Bawah fase yang dilakukan adalah distalisasi 35, 45, dilanjutkan dengan 34 dan 44. Retraksi anterior dilakukan setelah retraksi kaninus terlebih dahulu menggunakan kawat stainless steel .017× .025 dengan stopper pada mesial 16, 26, 37 dan 47 dengan power chain. Setelah kaninus berhasil di retraksi maka dilakukan retraksi anterior menggunakan T-loop dengan wire stainless steel 0,016x0,022 pada Rahang Atas. Rahang Atas dilakukan intervensi step up dan step down pada Rahang Bawah. Mesialisasi 37, 47 dengan wire SS 0,017x0,025 dan power chain pada bagian bukal dan palatal pada 35, 45 yang telah diikat continues. Hasil akhir didapatkan overbite dan overjet yang normal dan relasi molar serta kaninus kelas I.(Gbr.5 dan 6). Clear retainer dipilih pasien pada akhir perawatan.

Pembahasan

Ekstraksi gigi merupakan salah satu alternatif dalam penanganan berbagai jenis maloklusi, dan keputusan untuk melakukan ekstraksi sangat tergantung pada beberapa faktor, termasuk riwayat kesehatan pasien, sikap pasien terhadap perawatan yang akan dijalani, kebersihan mulut, tingkat keparahan karies, serta tingkat keparahan maloklusi yang dialami[10]. Dalam konteks perawatan ortodontik, khususnya pada kasus kelas I dengan kondisi crowded, terdapat beberapa metode yang dapat digunakan untuk menciptakan ruang yang diperlukan. Metode tersebut mencakup pengurangan interproksimal, ekspansi, derotasi, uprighting, distalisasi, dan ekstraksi. Dalam kasus tertentu, pilihan yang tepat dapat mencakup derotasi, uprighting, distalisasi, serta ekstraksi.

Ekstraksi gigi premolar pertama sering kali dianjurkan pada kondisi crowding yang sedang hingga berat di area labial, dengan tujuan untuk menciptakan ruang yang diperlukan. Pola ekstraksi yang umum diterapkan oleh praktisi ortodontik adalah karena posisi premolar yang terletak di antara daerah anterior dan posterior rahang, yang memberikan keuntungan dalam hal penjangkaran di area posterior untuk mendukung retraksi gigi anterior[11]. Penelitian yang dilakukan oleh Persson et al. juga menunjukkan adanya perubahan spontan setelah ekstraksi premolar, yang ditandai dengan keselarasan lengkung yang baik, di mana penutupan ruang yang tersisa sejalan dengan pertambahan usia pasien[12].

Salah satu pertimbangan utama dalam memilih antara prosedur ekstraksi atau non-ekstraksi adalah adanya diskrepansi lengkung. Dalam kasus ini, pasien menunjukkan adanya diskrepansi sebesar 6 mm pada lengkung atas dan 6 mm pada lengkung bawah, serta kehilangan premolar kiri yang bersifat kongenital[13]. Penelitian sebelumnya mengemukakan bahwa melakukan ekstraksi pada regio premolar dapat memberikan keuntungan dalam melakukan koreksi saat proses penutupan ruang dilakukan. Keuntungan ini sangat bermanfaat, terutama dalam merawat pasien yang mengalami gigitan dalam, seperti yang terjadi pada kasus ini[14].

Pada kasus ini ekstraksi yang dilakukan hanya untuk melakukan koreksi berdesakan selama penutupan ruang berlangsung. Retraksi anterior dapat dilakukan melalui dua teknik, yaitu en masse retraction dan two step retraction. Pada teknik enmas retraktion, gigi insisivus dan gigi kaninus ditarik secara bersamaan dalam satu waktu. Sementara itu, pada teknik two step retraction, langkah pertama melibatkan penarikan gigi kaninus hingga mencapai kontak penuh dengan gigi premolar kedua. Setelah itu, gigi kaninus ini dimasukkan ke dalam segmen posterior yang terdiri dari molar pertama dan kedua. Pada langkah kedua, segmen posterior tersebut berfungsi sebagai unit jangkar untuk menarik kembali gigi insisivus[15].

Dalam kasus ini, penggunaan double band menjadi pilihan yang tepat, dan pada akhir perawatan, tidak terdapat perubahan signifikan pada sudut MP-SN, yang menunjukkan bahwa mandibula tidak mengalami rotasi ke belakang. Setelah menyelesaikan perawatan ortodontik, relasi molar dan kaninus Kelas I berhasil dicapai di kedua sisi, di mana kondisi crowded dan deviasi garis median telah berhasil dikoreksi. Selain itu, inklinasi RA dan RB juga telah diperbaiki, sehingga sudut antar insisal yang baik dapat dicapai. Profil jaringan lunak pasien menunjukkan peningkatan yang signifikan, sesuai dengan tujuan perawatan yang telah ditetapkan.

Dari keseluruhan proses ini, dapat disimpulkan bahwa ekstraksi gigi premolar pertama merupakan salah satu opsi yang layak dalam penanganan kondisi crowded. Rencana perawatan yang melibatkan ekstraksi atau tidak harus mempertimbangkan berbagai faktor, seperti diskrepansi, profil wajah, inklinasi insisif, serta permasalahan skeletal yang mungkin ada. Diagnosis yang tepat adalah kunci keberhasilan dan stabilitas hasil perawatan ortodontik. Selain itu, masalah penjangkaran juga harus diperhatikan saat melakukan pencabutan gigi untuk meminimalkan kehilangan penjangkaran yang dapat memengaruhi hasil akhir. Tujuan dari perawatan ortodontik adalah untuk mencapai keseimbangan antara aspek estetika dan fungsi gigi yang optimal.

References

D. Normando, M. A. O. Almeida, and C. C. A. Quintão, “Dental Crowding,” Angle Orthod., vol. 83, pp. 10–15, 2013, doi: 10.2319/020112-91.1.

V. Jadhav, M. Tiwari, V. Seegavadi, R. Kamble, and P. Daigavane, “A Formula for Estimating the Mesiodistal Width of Permanent Mandibular Central Incisors,” J. Datta Meghe Inst. Med. Sci. Univ., vol. 16, pp. 29–32, 2021, doi: 10.4103/jdmimsu.jdmimsu_121_20.

S. Paul, S. Garg, B. G. Saraf, N. Sheoran, M. Chawla, and S. E. Saji, “Arch Measurements, Bigonial Width, Dental Caries, and Their Effect on Occurrence of Mandibular Incisors Crowding in Early Mixed Dentition Period,” Int. J. Clin. Pediatr. Dent., vol. 14, pp. S57–S62, 2021, doi: 10.5005/jp-journals-10005-2018.

R. Jain, “Prevalence of Mandibular Anterior Teeth Crowding in Mixed Dentition Subjects Reporting to a University Hospital in Chennai City,” Int. J. Dent. Oral Sci., vol. S3, pp. 6–11, 2019, doi: 10.19070/2377-8075-SI02-03002.

M. M. Grippaudo, V. Quinzi, A. Manai, E. G. Paolantonio, F. Valente, G. La Torre, and G. Marzo, “Orthodontic Treatment Need and Timing: Assessment of Evolutive Malocclusion Conditions and Associated Risk Factors,” Eur. J. Pediatr. Dent., vol. 21, pp. 203–208, 2020, doi: 10.23804/ejpd.2020.21.03.09.

A. Suryaprawira, “Perubahan posisi bibir bawah pada perawatan ortodonti dengan pencabutan pada maloklusi kelas II divisi 1,” J. Ilm. dan Teknol. Kedokt. Gigi, vol. 17, no. 1, pp. 27–34, Jul. 2021, doi: 10.32509/jitekgi.v17i1.1118.

P. S. Pudyani and Y. Hanimastuti, “Profil jaringan lunak wajah kasus borderline maloklusi klas I pada perawatan ortodonti dengan dan tanpa pencabutan gigi (Facial soft tissue profile on borderline class I malocclusion in orthodontic treatment with or without teeth extraction),” Dent. J. (Majalah Kedokt. Gigi), vol. 46, no. 4, p. 179, Dec. 2013, doi: 10.20473/j.djmkg.v46.i4.p179-184.

D. Iman, L. Lucynda, P. I. Sitasari, and I. B. Narmada, “Perawatan maloklusi kelas I dengan rotasi caninus 180° dan impaksi premolar rahang atas,” MKGK (Majalah Kedokt. Gigi Klin.) UGM (Clin. Dent. J.), vol. 9, no. 1, pp. 25, May 2024, doi: 10.22146/mkgk.77734.

S. M. Lim and R. K. Hong, “Lever arm and miniscrew implant system for distalization of maxillary molars and anterior teeth retraction,” in Skeletal Anchorage in Orthodontic Treatment of Class II Malocclusion, Elsevier, 2015, pp. 223–228, doi: 10.1016/b978-0-7234-3649-2.00042-7.

V. Ciftci, “Spontaneous Space Closure After the Extraction of the Permanent First Molar on Mandibular Arch: A Retrospective Study,” Jan. 2020, doi: 10.21203/rs.2.21030/v1.

S. Kinoshita, M. Tomizawa, and T. Noda, “Congenitally missing lower primary canine, anomalous lower primary first molar and impacted supernumerary premolar in one dental arch,” Pediatr. Dent. J., vol. 14, no. 1, pp. 135–140, 2004, doi: 10.1016/s0917-2394(04)70020-8.

Y. W. Zhao, R. Gao, and H. Q. Sun, “The Protocol of Fixed Reconstruction for Severely Worn Teeth Combined with Anterior Deep Bite,” Case Rep. Dent., vol. 2017, pp. 1–6, 2017, doi: 10.1155/2017/9378091.

D. Bakhit, H. Dehis, Y. Mostafa, and F. ElSharaby, “Evaluation of anchorage loss following anterior segment retraction using friction versus frictionless mechanics: a randomized clinical trial,” Futur Dent. J., vol. 8, no. 1, pp. 21–27, Jun. 2022, doi: 10.54623/fdj.8014.

A. Carlos, D. O. Ruellas, R. Martins, D. O. Ruellas, and F. L. Romano, “Tooth extraction in orthodontics: an evaluation of diagnostic elements,” Rev. Dent. Press Ortodon. Ortop. Facial, vol. 15, no. 3, pp. 134–157, 2010.

A. Khanum, P. G. Shivamurthy, and S. Mathew, “Extraction vs Non Extraction Controversy: A Review,” 2018.